新闻浏览
您现在的位置:新闻中心 -> 新闻浏览| 返回列表 上一页 | 下一页 |
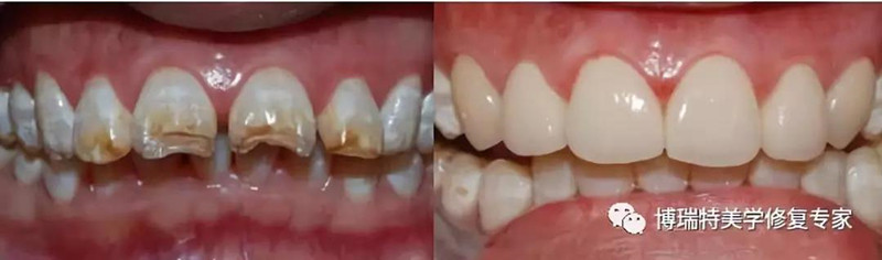
牙齿磨损是一种非龋性、非外伤性的牙体硬组织进行性损失,从牙齿萌出开始就一直存在。牙齿磨损包括生理性和病理性牙齿磨损。生理性牙齿磨损无需治疗,而病理性、快速进行的牙齿磨损则需及时干预和合理的修复治疗。牙齿磨损是一个由生物学、机械学、化学及润滑学等多因素共同作用而产生的临床现象,包括酸蚀症、磨耗、磨损、楔状缺损。本文将从牙齿磨损的病因、分类、诊断和预防、修复材料的选择及牙齿磨损治疗措施等方面,对牙齿磨损的研究做一系统性阐述。
1.牙齿磨损的病因
牙齿表面磨损的主要病因可分为牙齿间咬合接触产生的机械磨损和口腔环境中酸性物质导致的化学磨损;另一种病因分类为:①牙齿间或牙齿与食物间咬合接触摩擦产生的磨耗;②由内源性或外源性酸侵蚀牙齿表面导致的硬组织脱矿,从而产生的酸蚀性牙齿磨损;③由咬合应力导致的牙颈部缺损。临床牙齿磨损常见的好发因素主要是夜磨牙症,有害的口腔习惯如嗑瓜子、咬指甲,胃食管反流性疾病,饮食失调如神经性暴食症、厌食症,嗜酸性食物和饮料,口腔干燥症,先天性牙釉质发育不全,牙本质发育不全,工作环境中的酸性气体等。

2.牙齿磨损的诊断和治疗
牙齿磨损治疗前,应查明并记录患者主诉及其病史,详细询问患者的饮食和饮水习惯(如酸性食物和饮料的摄入情况)、生活和工作环境、职业、饮酒习惯、药物服用情况、是否有夜磨牙症及胃食管方面疾病(如胃食管反流、呕吐)等。此外,还应检查患者的唾液流速以及缓冲能力等。尽可能找到牙齿磨损的致病因素,在控制病因的情况下,对早期磨损的患者采取预防性措施。

当磨损程度为0或1度时,可适当使用氟化物牙膏、茶叶、木糖醇处理磨损的牙齿表面,促使酸蚀的牙齿表面再矿化。在磨损的牙齿表面涂抹树脂粘接剂(牙本质粘接剂或封闭剂)也可在一段时间内保护牙齿,防止酸的侵蚀及刷牙产生的磨损,但这种保护性材料的性能目前仍需进一步改善,以抵抗酸的侵蚀和咀嚼磨耗。当患者有夜磨牙症时可考虑采用树脂牙合垫置于口内防止夜间磨牙时后牙的咬合接触,也可采用头帽式咀嚼肌肌电刺激方式阻断肌肉的兴奋防止夜磨牙症的发生。
3.牙齿磨损修复设计
牙齿磨损时,牙槽骨及相应组织可产生代偿性增生,因此,尽管牙齿高度降低了,但上下颌牙齿仍可保持咬合接触,完成咀嚼功能。由于牙齿磨损速率和组织代偿间存在差异,患者息止间隙可发生相应改变,部分患者缺乏足够的修复空间,给咬合重建修复带来了困难。患者息止间隙在临床可接受的条件下,可采用牙冠延长术、正畸牙齿压入等方法创造修复空间。严重的牙齿磨损可导致牙尖交错的丧失,引起咬合不稳定,咀嚼功能下降并影响美观。上前牙腭侧和下前牙切端的严重磨损,可使患者失去前牙引导功能,进而使下颌运动时的尖牙保护丢失;而后牙磨损严重、前牙磨损较少的患者,可因上颌前牙咬至下颌牙龈而产生疼痛。15年前,对于重度牙列磨损,仅可通过广泛的牙体预备,采用全冠修复体或可摘式覆盖义齿完成修复。但对于广泛性重度磨损的年轻患者而言,若使用全冠修复就会存在以下问题:牙冠修复体及基牙的预后如何?修复失败后是否还有其他方法可用?口腔医师在决定最终修复体设计方案前,必须对预后有所预估。

1985年Dahl和Krogstad采用可摘式钴铬合金前牙垫对1例18岁局部牙齿重度磨损的患者进行治疗,恢复了修复空间,长期临床观察显示患者垂直关系稳定。在咬合重建过程中,恢复垂直距离的过渡性修复手段除垫、垫式可摘局部义齿外,还有过渡性树脂覆盖修复以及临时冠桥修复等。早期学者认为过渡性树脂覆盖修复升高垂直距离时,树脂修复体易折裂、脱落,增加患者复诊次数而使该方法的应用受到限制。近年随着树脂粘接技术的进步,粘接剂对牙釉质和牙本质的粘接强度明显提高,同时随着复合树脂材料抗压强度、耐磨性能的改进,直接树脂修复体使用寿命延长,为牙列重度磨损患者以复合树脂粘接面恢复垂直距离,进而为完成咬合重建序列治疗提供了有效手段。
4.修复体的选择
Poyser等的临床研究证实,对于牙列磨损患者,合适的修复体取决于牙弓内牙齿磨损的部位及剩余牙体组织的量。不同磨损程度常选用不同的修复材料,修复体的使用寿命取决于所用材料的物理特性、牙齿磨损程度、牙齿表面与修复体界面间的粘接持久性以及磨损部位和所承受负荷的大小,同时也与患者自身情况相关,如夜磨牙症、饮食及口腔卫生习惯。临床常用的修复体有嵌体、贴面、瓷贴面、半冠、全冠、覆盖义齿等;修复体的制作材料有金属、树脂、瓷、瓷-树脂复合体、烤瓷附熔金属材料等。
当对牙为天然牙或患者有严重的夜磨牙症时,修复材料的选择尤为重要。多数临床医师及研究人员认为,此时采用贵金属制作修复体对天然牙列的磨损程度最小。当对牙为瓷修复体特别是氧化锆全瓷冠时,可加速对天然牙的磨损。尽管部分研究发现,对牙的加速磨损与全瓷冠修复体的硬度间无太大关系,但与全瓷冠的表面微结构和粗糙度密切相关。
5.修复体的粘接
随着复合树脂和粘接技术的改进和提高,对酸蚀性磨损的牙列进行微创重建修复成为可能。常见的粘接性修复形式有直接或间接复合树脂修复、铸造金属粘接修复(腭侧金属贴面、金属高嵌体)及瓷贴面、瓷嵌体修复。牙齿磨损的修复治疗较大程度上取决于有效持久的粘接。

已有研究发现,牙酸蚀症患者的牙本质变硬、表面过度矿化且光滑,呈现管状面外观。有学者指出硬化牙本质的粘接强度比正常牙本质低20%~45%。这是由于面牙本质小管表面沉积了矿物质盐,阻止了树脂突形成,从而降低了粘接强度。关于提高硬化牙本质粘接强度的方法,目前存在以下两种结论,有文献指出增加酸蚀时间及使用两步法酸蚀冲洗粘接系统能显著提高硬化牙本质的粘接强度;然而,另有文献指出增加酸蚀剂的量,或在酸蚀冲洗系统以及自酸蚀系统使用前涂布底涂剂,对正常或硬化牙本质粘接强度无影响。激光处理对硬化牙本质的粘接也有一定的促进作用,通过熔融和气化去除牙本质表面的污染层,在牙本质表面形成无数规则的弹坑样凹陷,这种凹陷的大小与牙体组织和修复材料的粘接强度密切相关。扫描电镜观察发现,Nd:YAG激光(5 J/cm2)处理后牙本质小管内树脂突明显比对照组更多,进而可改善粘接系统的渗透性以增加粘接强度。
6.广泛性酸蚀性牙齿磨损的修复
Peutzfeldt等根据垂直距离丧失的大小,将酸蚀性牙列磨损的治疗方案分为4种:①垂直距离丧失< 0.5 mm时,可封闭酸蚀区或使用复合树脂直接修复体修复;②垂直距离丧失< 2 mm时,建议使用复合树脂直接修复体修复;③垂直距离丧失>2 mm时,建议使用间接修复体如瓷贴面和高嵌体修复,此时的咬合重建过程最复杂;④垂直距离丧失> 4 mm时,可采用全瓷修复。对于严重磨损的牙列,传统的固定修复体仍是主要的治疗措施,但这种治疗方案较复杂,对牙齿损害较多且费用昂贵。而且此类患者临床牙冠较短、颌间距离降低,因而增加了修复体并发症及牙齿丧失的发生率。因此,粘接性修复体作为一种保守性治疗方法,减小了对牙齿进行广泛预备的必要性。
针对广泛性牙酸蚀症年轻患者,Vailati和Besler创新性地提出了树脂粘接微创美学修复的三步法概念,需要口腔修复技师与口腔临床医师相互配合以达到最佳的临床美学和功能效果。第一步:制作诊断蜡型、口内树脂罩面,评估美学效果,确定前牙美学平面的位置;第二步:在后牙诊断性蜡型的基础上确定增加的垂直距离,复合树脂重建后牙牙尖交错位咬合,形成后牙支撑;第三步:制作上颌前牙腭侧树脂修复体,重建前牙引导性咬合,形成前牙切导。这种三步法咬合重建技术,将全牙列磨损患者的咬合重建转换为各个区段的局部牙齿修复重建,使临床医师在咬合重建操作中更方便、安全、省时、省力。使用粘接性修复治疗对天然牙组织造成的损害小、易操作,可使患者在戴用最终修复体前适应新的垂直距离,并能保护牙齿面以防止进一步酸蚀。

关于广泛性牙列重度磨损咬合重建修复,目前国内外鲜见指导性修复原则。即使如此,Muts等运用Medline和循证医学数据库(Cochrane)进行牙列磨损修复的相关文献检索,总结出以下临床常用的5步基础治疗方法:①制作诊断蜡型和诊断性排牙;②运用正中关系位恢复咬合接触;③采用可摘式或固定式过渡性修复体恢复合适的垂直距离,使关节、肌肉、神经系统适应新的咬合状态;④建议使用高强度、耐磨性佳的复合树脂和玻璃陶瓷进行微创粘接修复;⑤定期追踪,随访观察,同时,对夜磨牙症患者和胃食管反流患者采取夜间保护措施。
博瑞特美学修复中心
想了解更多精彩内容请关注博瑞特义齿官网:www.brtchina.com。相关内容资讯欢迎拨打电话:0591-83595526;13615032255;13067236885;
| 返回列表 上一页 | 下一页 |